主机轻薄
出色、灵动的外形设计,完美诠释百老汇电子游戏官网时尚前沿的人机工程学设计
X5便携式彩色多普勒超声诊断系统
广告
出色、灵动的外形设计,完美诠释百老汇电子游戏官网时尚前沿的人机工程学设计
搭配高性能FPGA主板,快速响应您的各种需求。开、关机迅速,把握诊断时间
结合了高端的成像技术,为您提供精确的高清图像和易操控的体验
高分辨率广视角医用彩色液晶显示器,大角度、无失真、无角度依赖,支持大角度调节
具备不同种规格的可拆卸锂电池,方便在户外、救护车上的使用,待机时间更长
可编辑超声诊断报告,整体患者管理流程方便简捷,多种数字化外设接口,可提供多样化的图像输出方式

按键位置根据功能模块科学分区,常用功能键放置在轨迹球周围,使操作者直观的进行单手操作

为满足急诊、床旁、手术室等多科室灵活应用的需要,支持待机移动,让您随意在科室内外,院内户外使用,同时延长了仪器和探头的使用寿命,减少维护成本
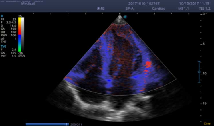
X5采用前端的超声专用芯片,将台式机大规模集成电路完美压缩在笔记本超声的精巧下,提高了系统的运算速度,加载μ-Scan微米成像、脉冲反相谐波等技术,带来优异的临床表现,清晰呈现高分辨率二维图像和层次丰富的血流图像
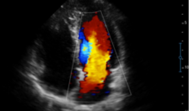
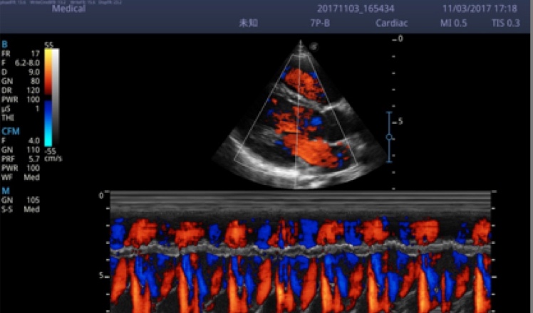
X5具备实时宽景成像、穿刺增强、彩色M型、组织多普勒等多种高级成像功能,全方位满足多个科室的诊断需求,整机系统向智能化跨越
禁忌内容或者注意事项详见说明书

微信公众号
0188-22223333
400-800-8820
版权所有 @百老汇电子游戏官网 苏ICP备20008866
互联网电子信息服务资格证书[(苏)-非经营性-2002-0888